치아교정

교정과·통합치의학과 더블보드 전문의의
정확하고 체계적인 치아교정 진료

Orthodontic Treatment

치아교정 종류

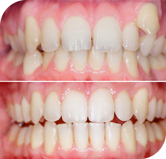
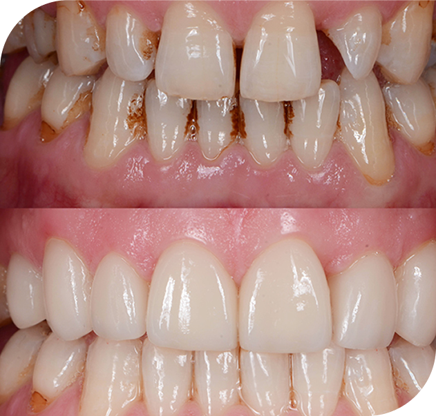
치아교정은 단순히 치열을 가지런히 정리하는 치료가 아니라
기능적인 개선과 심미적인 변화를 동시에 이루는 치료입니다.
환자의 치아 상태, 부정교합 유형, 연령 및 생활 환경을 고려하여
적절한 교정 방법과 치료 시기를 결정하게 됩니다.

  • 01

    장치별 치아교정

    교정 장치는 심미성, 치료 효율, 환자의 생활 방식 등을
    고려하여 선택합니다. 최근에는 심미성을 고려한
    다양한 장치가 개발되어 선택의 폭이 넓어졌습니다.

  • 02

    증상별 치아교정

    부정교합의 유형에 따라 치료 방법과 기간이 달라지며
    정확한 진단을 통해 맞춤 치료 계획을 수립하는 것이 중요합니다.

  • 03

    시기별 치아교정

    치아교정은 치료 시기에 따라 결과와 치료 방식이 달라질 수 있으며
    개인의 성장 단계에 맞춘 치료 계획이 중요합니다.

01

주걱턱 교정

주걱턱은 아래턱이 위턱보다 앞으로 나와 턱이 길어 보이거나,
아래 앞니가 위 앞니보다 앞으로 물리는 부정교합을 말합니다.
이는 심미적인 문제뿐만 아니라 다양한 기능적인 문제를 야기할 수 있어
교정 치료가 필요할 수 있습니다.

비수술 교정 대상

턱 성장이 진행 중인 경우

주걱턱 정도가 심하지 않은 경우

차아 이동만으로 교합 개선 가능

수술 교정 대상

주걱턱이 심한 경우

치아 교정만으로 개선이 어려운 경우

안면 비대칭 등 심한 턱뼈 부조화 동반

02

무턱 교정

무턱은 아래턱이 위턱에 비해 상대적으로 뒤로 들어가 있거나
발달이 미흡한 상태를 의미합니다. 이는 유전적인 요인,
잘못된 구강 습관(혀 내밀기, 손가락 빨기 등), 혹은 성장 과정에서의
불균형 등으로 인해 발생할 수 있습니다.

비수술 교정 대상

심미적 개선으로 자신감 회복을 원하는 경우

발음, 호흡 장애 등 기능적 문제가 있는 경우

부정교합과 동반된 무턱의 경우

03

매복치 교정

흔히 사랑니에서 많이 발생하지만
송곳니나 어금니 등 다른 치아에서도 나타날 수 있습니다.
매복치는 방치할 경우 주변 치아의 뿌리를 녹이거나
치열 전체에 문제를 일으켜 부정교합을 유발할 수 있으므로, 적절한 치료가 필요합니다.

교정 대상

매복치 사이에 낭종이 생긴 경우

옆 치아를 밀어내 부정교합을 유발한 경우

사랑니를 제외한 영구치가 매복된 경우

04

벌어진 치아

벌어진 앞니 교정 치료는 치아의 벌어진 정도와 교합 상태에 따라
부분 교정 또는 전체 교정으로 진행되며, 치료 방법이 달라질 수 있기 때문에
무엇보다 정확한 진단이 중요합니다.

교정 대상

벌어진 앞니 등 심미전 개선을 원하는 경우

부정교합을 유발하는 경우

사랑니를 제외한 영구치가 매복된 경우

05

돌출입 교정

돌출입은 얼굴을 옆에서 봤을 때 코끝이나 턱끝에 비해
입이 앞으로 튀어나온 상태를 의미합니다.
입을 다물기 어렵거나 다물었을 때 턱 끝이
울룩불룩해지는 등의 증상이 나타날 수 있습니다.

교정 대상

입을 다물때, 입술이 닫히지 않는 경우

옆모습에서 입이 도드라져 보이는 경우

웃을때 잇몸이 많이 보이는 경우

06

덧니 교정

미관상 좋지 않을 뿐만 아니라 구강 건강에도
여러 문제를
야기할 수 있어 교정 치료를 통해 개선하는 것이 좋습니다.
덧니가 가지런하게 배열될 공간이 부족하다면 치아 발치 후
교정을 진행하고 덧니가 심하지 않거나 공간이 있을 경우 발치 없이 교정을 진행합니다.

교정 대상

심미적 개선을 원하는 경우

교합이 좋지 않아 턱관절 통증이 있는 경우

충치, 치주염 등 구강에 문제가 생긴 경우

교정치료 FAQ

이런 점이 궁금해요!
증상별 교정치료 FAQ

돌출입이나 돌출 앞니는 심미적인 문제뿐 아니라 입이 잘 다물어지지 않거나 구강건조, 잇몸 노출 등의 기능적 문제를 동반할 수 있습니다.
단순 배열 문제가 아닌 골격적 원인인지 정밀 진단이 중요합니다.

일부 교합 문제는 턱관절 증상을 유발할 수 있습니다.
하지만 모든 턱관절 증상이 교정으로 해결되는 것은 아니므로 정밀 검사 후 보존적 치료 또는 교정 병행 여부를 판단합니다.

모든 교정 치료에 발치가 필요한 것은 아닙니다.
치아 배열 공간, 돌출 정도, 교합 상태 등을 정밀 분석 후 결정합니다.
치아교정의 특별함

진심을다하는치과,
치아교정 POINT

치과교정과 전문의가 직접 진단하고
치아 배열뿐 아니라 교합과 기능까지 고려한 교정치료를 진행

  • 치과교정과 전문의 대표원장 상주
    정밀 진단 · 체계적 치료계획 · 결과까지 책임

  • 소아치과 전문의 협진 으로, 연령과 구강 상태에
    맞춘 체계적인 맞춤 교정 치료

  • 교정 진단 프로그램을 통해 치아 이동을 예측,
    개인에게 가장 적합한 교정 방법을 설계